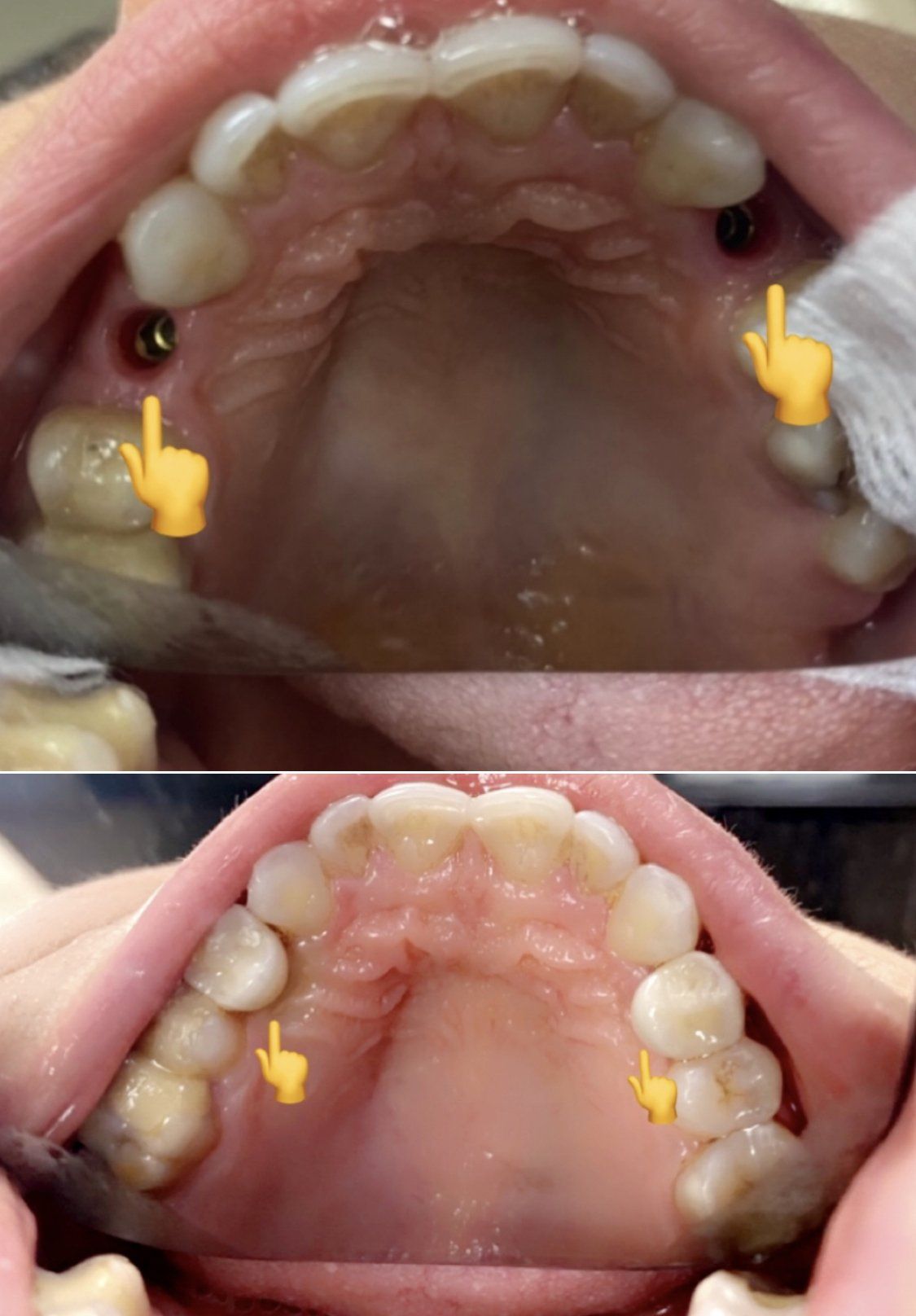
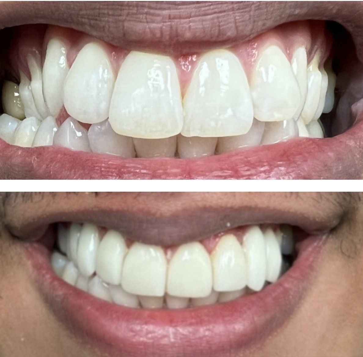
Our Work
We believe our work at Royal Dental speaks for itself. Our before and after photos don't lie– our work makes a huge difference in the lives of our patients. Take a look at some of the dental implants and other restorative work we've done below, and when you're ready to start smiling again, give us a call!
See What Makes Royal Dental Different
Royal Dental is a modern dental clinic that specializes in advanced diagnostics and treatment of dental and oral disorders. Our treatment and services allow our patients to feel welcome and comfortable in our spa-like clinic. We believe in the highest quality comprehensive care where each patient receives a personalized experience.
25+ Years of Dental Experience
Silver Certified Invisalign® Provider
Complimentary Consultations
Family-Friendly Environment
Welcoming Office & Staff
High-End Technology & Equipment





















